RECIMED no foco
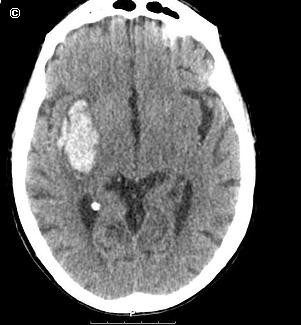
Acidente Vascular Cerebral Hemorrágico
O que é? O acidente vascular cerebral hemorrágico (AVCH) se caracteriza pelo sangramento em uma [...]
‘Prioridade em Santa Maria é criar força-tarefa de fisioterapeutas’, diz ministro da Saúde
O ministro da Saúde, Alexandre Padilha, visitou nesta quarta-feira (30) os hospitais em Porto Alegre [...]
Aterosclerose, a inimiga do coração
Isso pode acontecer por dois mecanismos. “Um deles está relacionado a distúrbios genéticos. Algumas pessoas [...]
Luto
Luto pelas vítimas da tragédia de Santa Maria-RS. Rezemos pelas famílias!
Hospital Getúlio Vargas ganha nova unidade de traumatologia pediátrica
O Hospital Getúlio Vargas (HGV), no Cordeiro, Zona Oeste do Recife, está mais preparado para [...]
Exame de sangue que detecta síndrome de Down em feto chega ao Brasil
Um exame de sangue destinado a mulheres grávidas para detectar anomalias nos cromossomos dos fetos [...]